Accessibility Tools

Перейти к содержимому
Комфортная
и доступная
стоматология

Лечение кариеса

Лечим под микроскопом
Лучшие материаллы
Одна из лучших клиник города по мнению пациентов
    Лечим под микроскопом
    Лучшие материаллы

    Текущие акции:
    Проф. чистка зубов от
    6 325₽
    Осмотр и консультация врача
    бесплатно
    Скидка 15% особенным детям
    ⁠социальная программа скидка 5% многодетным и пенсионерам
    скидка 10% всем инвалидам
    участникам СВО скидка 10%

    Кариес — это самая распространённая проблема, с которой пациенты обращаются к стоматологу. Он появляется у всех, и вопрос лишь в том, когда и как начать лечение. Мы создали клинику, в которой лечим себя, своих близких и предлагаем этот же уровень качества всем нашим пациентам.

    На первый взгляд может показаться, что лечение кариеса — это простая процедура, одинаковая в любой клинике. Но это далеко не так. Детали имеют значение. Важно всё: как проведена диагностика, какие материалы используются, насколько точен и внимателен врач, как организован сам процесс — от обезболивания до полировки пломбы.

    Армине Артаваздовна Пахлян

    стоматолог - терапевт

    Мы стараемся сделать эту процедуру максимально комфортной. Используем современные анестетики, работаем под увеличением, бережно готовим зуб к реставрации, подбираем композит по цвету и прозрачности так, чтобы пломба была совершенно незаметна. Это не просто «пломбирование» — это тщательная, аккуратная работа, результатом которой становится здоровый зуб, неотличимый от естественного.

    Да, качественное лечение не может стоить дешево. Но мы делаем всё, чтобы сохранить разумную стоимость — при высочайшем уровне исполнения. Установили среднюю цену на лечение кариеса в Москве, сохранив тот подход, которым по праву гордимся.

    Если вы ищете клинику, где действительно заботятся о результате, приходите в AppleStom. Посмотрите примеры наших работ на сайте и приходите — мы покажем, как кариес можно лечить по-настоящему качественно и с вниманием к деталям.

    Комфорт в кресле и полная анестезия

    Мы создаем условия прикторых стоматология становится комфортной

    Лучшие материалы и европейские протоколы

    Стандартны лечения дающие лучший долгосроный результат, проверенные и утвержденные в лучших клиниках

    Работаем с увеличением

    Только хорошая оптика позволяет выполнить манипуляции с тканями зуба дающие лучшие результат

    Фокус на красоту улыбки

    Улыбка, самое важное, мы не только лечим зубы, но и следим за тем, чтобы зубы выглядели красиво

    Самый опасный кариес, о котором важно знать!
    Как развиваетятся кариес, почему время играет критическую роль в сохранении тканей зуба.
    Микроскоп применяется при лечении глубокий кариозных паражений дентина.

    Стоимость лечения кариеса
    «под ключ»

    Стоимость включает в себя все необходимые процедуры и материалы
    Армине Артаваздовна Пахлян

    стоматолог-терапевт

    обезболивание
    удаление кариеса
    премиум материал
    контроль прикуса
    полировка
    Гарантия

    от 9 350 ₽

    Лечение кариеса V класс

    от 11 550 ₽

    Лечение кариеса I класс

    от 13 750 ₽

    Лечение кариеса II , III , IV, VI класс

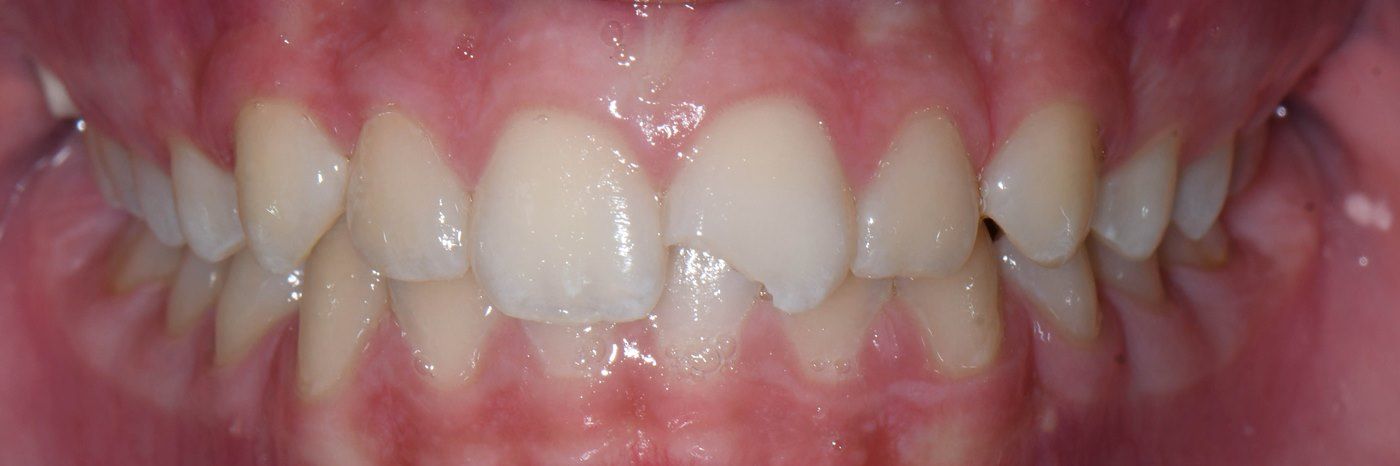
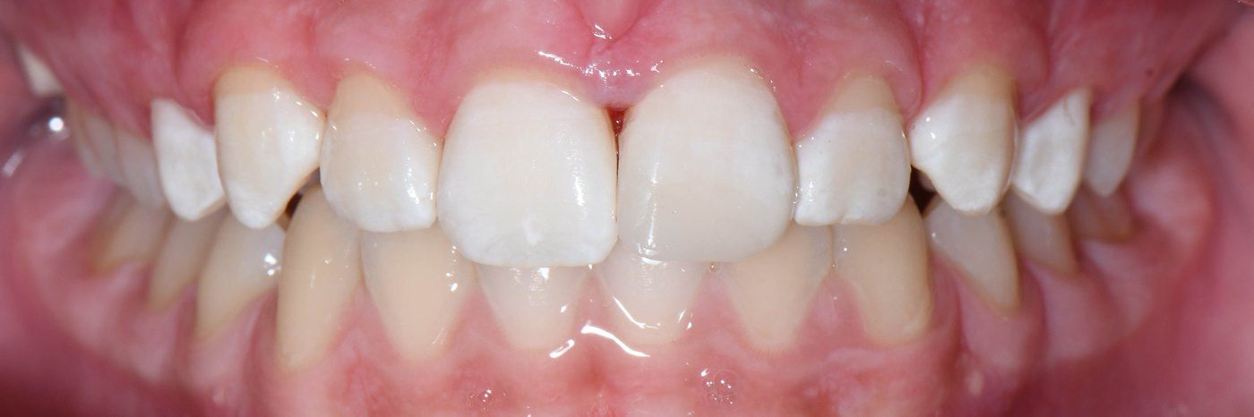
    До и после
    лечения кариеса

    Лечение кариеса жевательных зубов самое повседневная практика наших терапевтов.
    Анна Айказовна Тахмазян

    стоматолог-терапевт

    Красивое лечение кариеса передних зубов, это верх мастерства стоматолога.
    Сергей Артурович Габриелян

    стоматолог-терапевт

    При лечении жемавельных зубов мы заботимся о правильном смыкании и здоровом прикусе.
    Соня Альбертовна Абраамян

    стоматолог-терапевт

    Артак Ваагнович
    Балаян

    главный врач, стоматолог - хирург, имплантолог

    Сергей Артурович
    Габриелян

    стоматолог - терапевт

    Дарина Геннадьевна
    Широкова

    стоматолог - терапевт

    Соня Альбертовна
    Абраамян

    стоматолог - терапевт

    Ульяна Вадимовна
    Александрова

    стоматолог - терапевт

    Валерия Владимировна
    Мирошниченко

    стоматолог - терапевт

    Армине Артаваздовна
    Пахлян

    стоматолог - терапевт, детский врач

    Елена Вадимовна
    Красова

    стоматолог - терапевт, детский врач

    Седа Дживановна
    Бабаян

    стоматолог - терапевт, детский врач

    Павел Викторович
    Макаров

    стоматолог - ортопед, гнатолог

    Арутюн Камоевич
    Никогосян

    стоматолог - ортопед

    Денис Владимирович
    Коробейников

    стоматолог-терапевт, ортопед

    Сергей Юрьевич
    Котоменков

    стоматолог-терапевт, ортопед

    Георгий Амеранович
    Хухуа

    стоматолог - ортопед

    Юлия Витальевна
    Стрелкова

    стоматолог - ортодонт, гнатолог

    Дмитрий Сергеевич
    Козин

    стоматолог - ортодонт

    Екатерина Юрьевна
    Мороз

    стоматолог - ортодонт

    Полина Николаевна
    Мешкова

    стоматолог - ортодонт

    Анна Анатольевна
    Кушнарева

    стоматолог - хирург, имплантолог

    Эмиль Велиевич
    Ульянников

    стоматолог - хирург, имплантолог

    Кристина Алексеевна
    Александрова

    стоматолог - гигиенист

    Анастасия Васильевна
    Постульга

    анестезиолог-реаниматолог

    Артем Дзантемирович
    Кулаев

    анестезиолог-реаниматолог
    Напишите нам!
    Ответим на все вопросы
    и запишем на консультацию.