Accessibility Tools

Перейти к содержимому
Комфортная
и доступная
стоматология

Металлокерамика

Текущие акции:
Проф. чистка зубов от
6 325₽
Осмотр и консультация врача
бесплатно
Скидка 15% особенным детям
⁠социальная программа скидка 5% многодетным и пенсионерам
скидка 10% всем инвалидам
участникам СВО скидка 10%

Дорогие пациенты, мы не рекомендуем своим вам устанавливать металлокерамические коронки. Увы, за последние годы мы сняли десятки таких конструкций и видели, в каком состоянии бывают зубы под ними: воспалённые дёсны, тёмные края, просачивание бактерий под коронку. Всё это — результат длительного контакта металла с тканями полости рта.

Павел Викторович Макаров

стоматолог-ортопед

Если у вас уже установлены металлокерамические коронки, стоит задуматься о замене их на современные циркониевые аналоги. Это не только улучшит эстетику вашей улыбки, но и избавит от скрытых рисков: воспалений, кариеса под коронкой и неприятного запаха.

Переход на новые технологии — это шаг в сторону здоровья и красоты. А мы в AppleStom знаем, как сделать этот шаг максимально комфортным и безопасным.

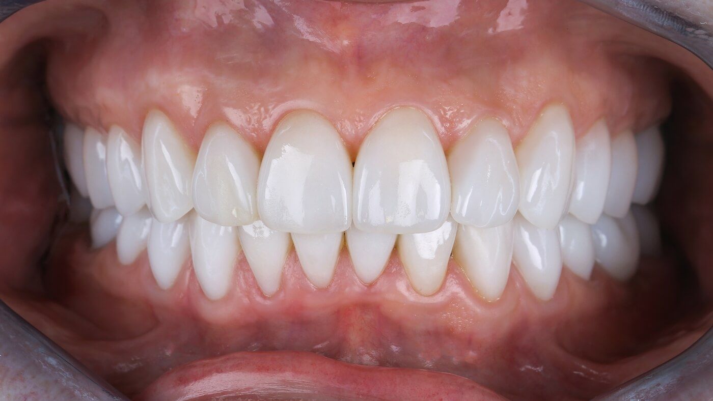
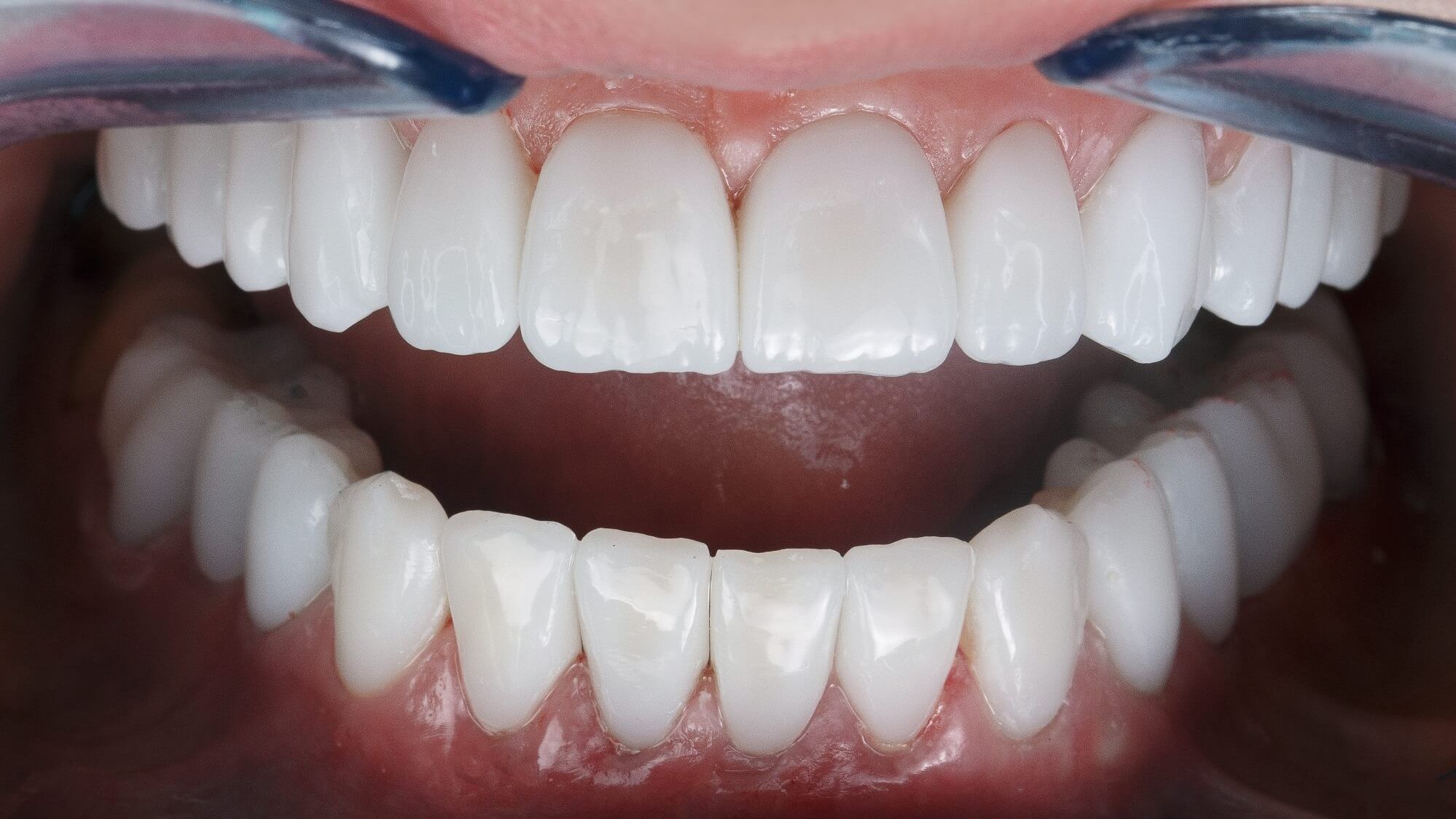
замена металлокерамических коронок

после
до
Мы не устанавливаем металлокерамические коронки, мы их снимаем. Самое лучшее решение, которое Вы можете принять, это поменять свои старые металлокерамические коронки на новые, выполненные из керамики или циркона. Это позитивно скажется на состоянии десны, на том как будут чувствоваться противоположные зубы в процессе жевания и конечно сам зуб под коронкой будет в большей сохранности.
Павел Викторович Макаров
стоматолог-ортопед