Accessibility Tools

Перейти к содержимому
Комфортная
и доступная
стоматология

Юлия Витальевна Стрелкова

ортодонт

Доктор Юлия Витальевна Стрелкова — профессионал в области ортодонтии, который знает, как сделать вашу улыбку не только красивой, но и функционально здоровой.

Индивидуальный подход к каждому пациенту
Доктор тщательно анализирует ваши запросы, прислушивается к вашим ожиданиям и предлагает персонализированные решения, максимально комфортные для вас.

Современные технологии и цифровые протоколы
Работа с использованием цифровых методик позволяет доктору точно планировать лечение, создавать прогнозируемые результаты и обеспечивать максимальную точность в работе.

Непрерывное развитие и обучение
Доктор Юлия Витальевна Стрелкова не останавливается на достигнутом. Он проходит регулярные стажировки и обучается у ведущих специалистов мирового уровня, чтобы предлагать своим пациентам только самые передовые и эффективные методики лечения.

Учет положения ВНЧС в лечении
В своей практике доктор уделяет особое внимание функциональному состоянию височно-нижнечелюстного сустава. Это особенно важно при планировании тотального протезирования, чтобы обеспечить естественное и комфортное функционирование зубочелюстной системы.

Если вы ищете ортодонта, который сочетает высокий профессионализм, современные технологии и заботу о вашем комфорте, доктор Юлия Витальевна Стрелкова станет вашим надежным проводником на пути к идеальной улыбке!

Высшее образование
  • 2013г.- Ординатура. Первый Московский Государственный Медицинский Университет имени И.М.Сеченова, специализация «Ортодонтия».

Доп. профессиональное образование
  • 2025 г. Участник семинара Криса Чанга для врачей- ортодонтов «Инновационные методики лечения сложных случаев».ORMCO.

  • 2024 г. Успешно прошла курс «Победа следующего поколенияWIN» DWLingualSystemsGmbH.

  • 2024 г. Участие в 1-й Международной конференции по ортофациальной хирургии и ортодонтии. ЦНИИС и ЧЛХ.

  • 2024 г. 3МUnitek.Сертификатобучастиивсимпозиуме «Principles of perioperative orthodontics and planning of orthognathic surgery».

  • 2013г. 3МUnitek.Сертификатобучастиив конференции «Первый шаг к успешной карьере в ортодонтии».

  • 2013г. 3МUnitek.Сертификат «Практические аспекты работы врача-ортодонта».

  • 2012г. Первый Московский Государственный Медицинский Университет имени И.М.Сеченова.Сертификат об участиив работе Школы молодых исследователей «Актуальные вопросы современной ортодонтии».

отзывы пациентов
Алиса
источник: Яндекс Карты
Хочу сказать слова великой благодарности нашей замечательной Юлии Витальевне- доктору ортодонту. С ребенком пришли в 6 лет с проблемами неправильного прикуса с узкой челюстью, местами с неправильным ростом зубов, с проблемами в процессе жевания. С грамотным подходом, и правильно выбранной стратегией, к 9 годам сына полностью решились все проблеммы. Радуюсь улыбке ребенка и хочу отметить что ОЧЕНЬ ВАЖНО выполнять все рекомендации доктора. Замечательная клиника, доктора - большие профессионалы своего ремесла. Рекомендую клинику большим и детям. Вы обязательно останетесь довольны потому, что подход к каждому клиенту особенный.
Dasha
источник: Яндекс Карты
Прохожу сложное лечение, все врачи отзывчивые, подробно объясняют план лечения и возможные развилки. В клинике комфортно и очень уютно. Отдельное спасибо Стрелковой Юлии Витальевне за красивый прикус!
Анастасия
источник: Яндекс Карты
Прохожу сейчас лечение у ортодонта Стрелковой Юлии Витальевны. Очень хороший и добрый специалист, все подробно и понятно объясняет. Не думала, что приходить в стоматологию станет когда-нибудь приятно. Сама клиника очень красиво обустроена и работает приятный персонал.
Yulia
источник: Яндекс Карты
Добрый день, с дочкой 8 лет по рекомендации обратились в клинику Apple Storm к ортодонту Стрелковой Юлии Витальевне с проблемой - узкая челюсть, не хватает места для постоянных передних зубов. Дочке поставили несъемную пластину для расширения челюсти, предварительно вылечив кариес на 4 зубах. Зубы лечили у Красовой Елены Вадимовны. Сердечная благодарность обоим врачам за их титанический труд.
Анжела
источник: Яндекс Карты
В этой клинике прохожу ортодонтическое лечение у Стрелковой Ю.В. Очень грамотный специалист, лучшая в своем деле. Кто бы не обратился, всегда советую Юлию Витальевну. Отдельное спасибо администраторам, всегда помогут подобрать время, день, записаться так, как было бы удобно, если что перенесут, очень приветливые, с порога с улыбкой встречают, настроение на прием задают, спасибо вам )
Любовь
источник: Яндекс Карты

Хотелось бы поблагодарить Кяргину Наталью Николаевну и Екатерину за безупречно проделанную работу (в течении полутора лет носила брекеты и наблюдалась у них😊 Результат потрясающий!).
Спасибо большое всему персоналу за создание позитивной атмосферы и внимательное отношение к клиентам❤️

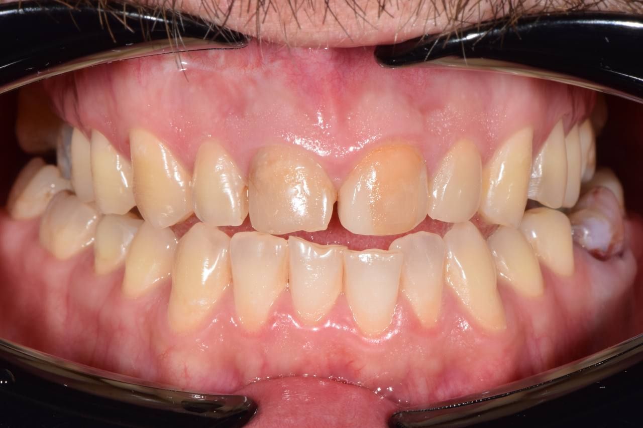
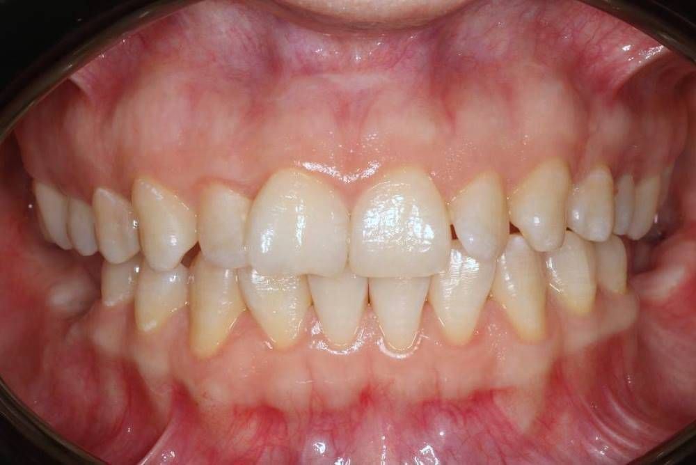
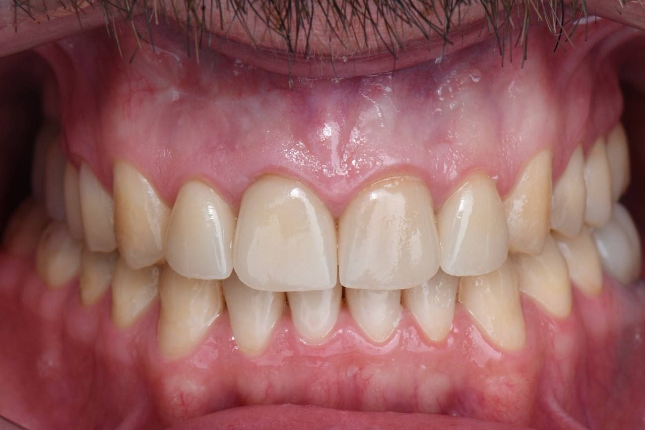
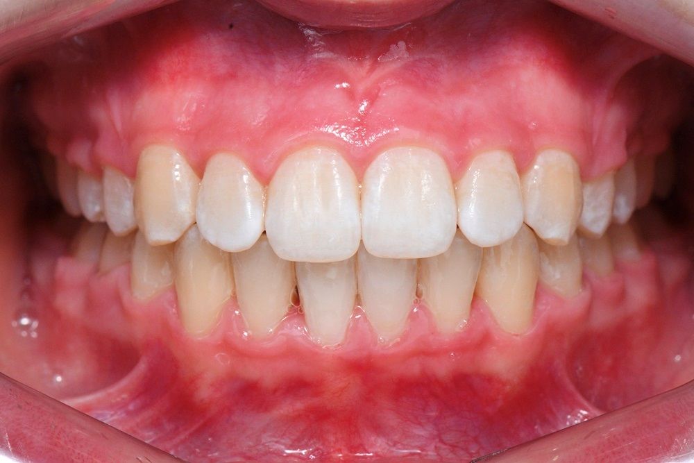
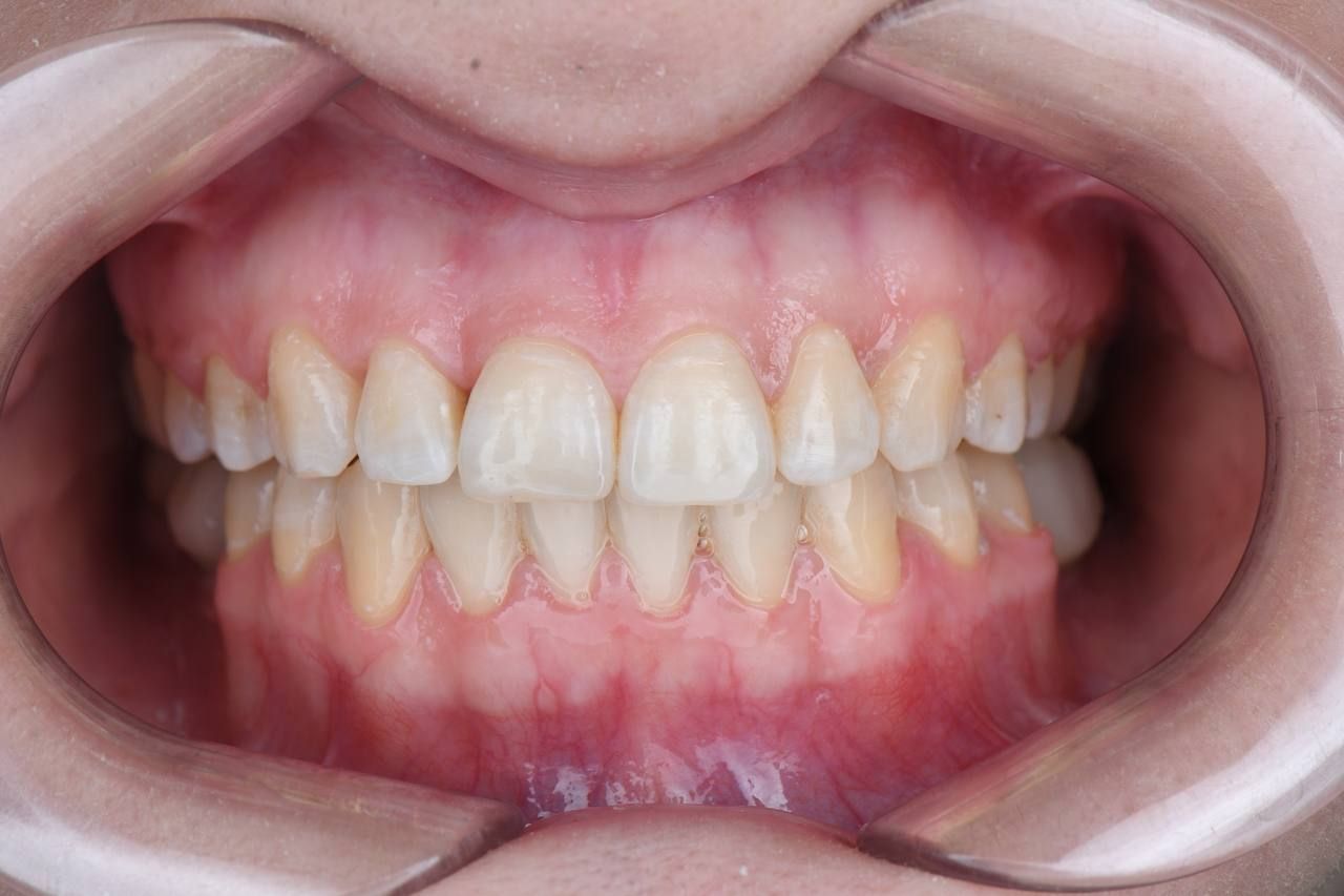
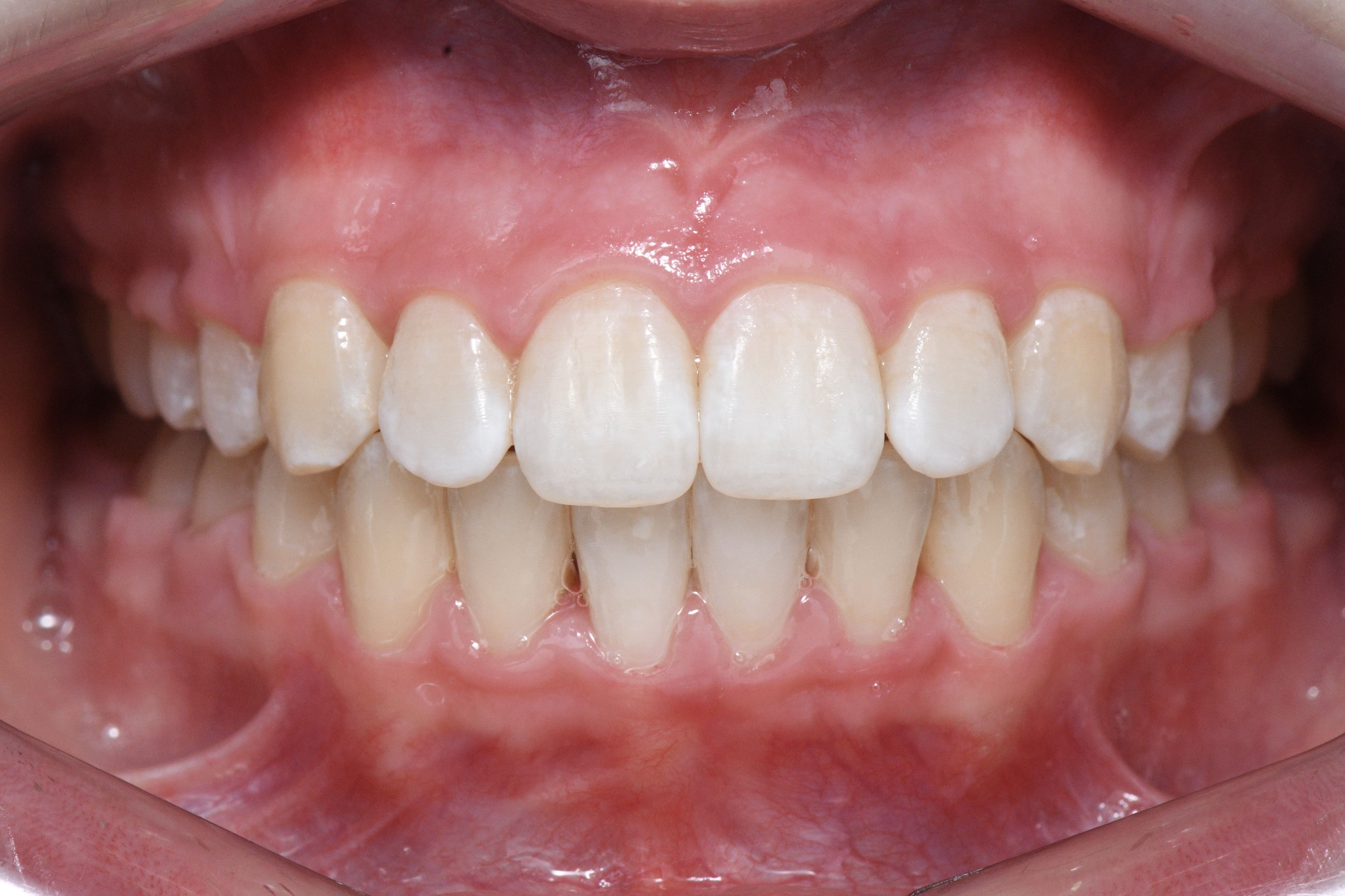
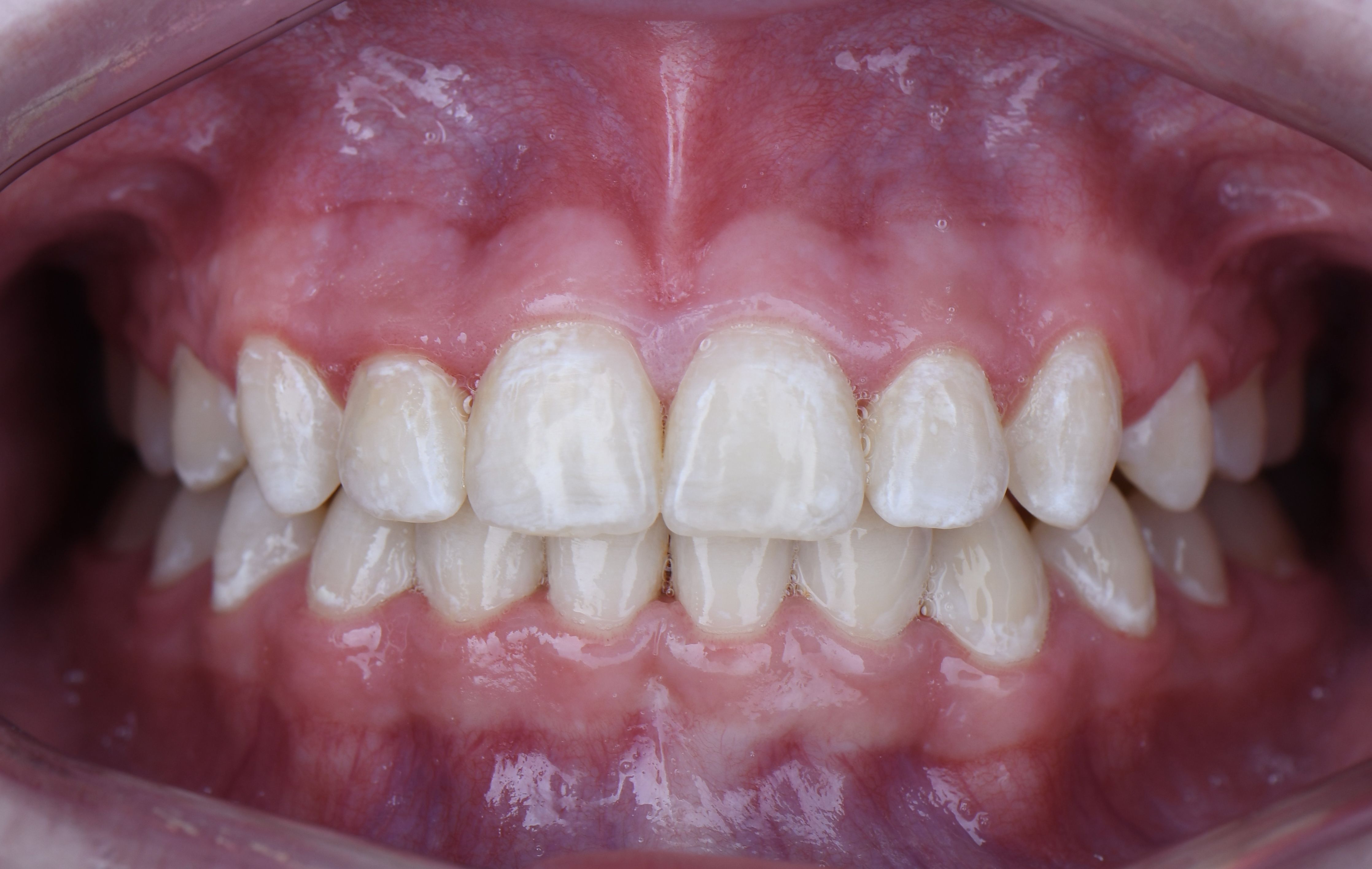
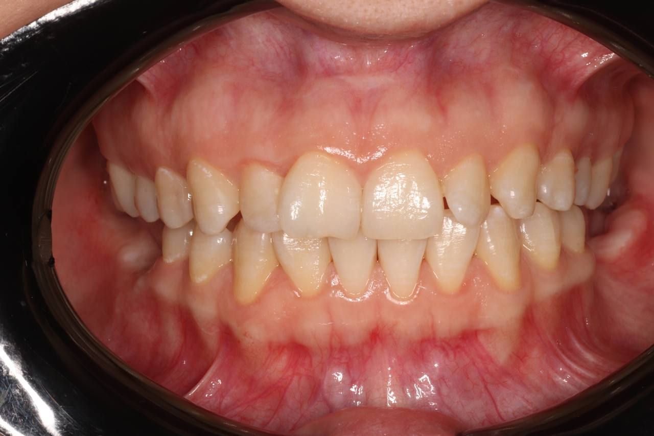
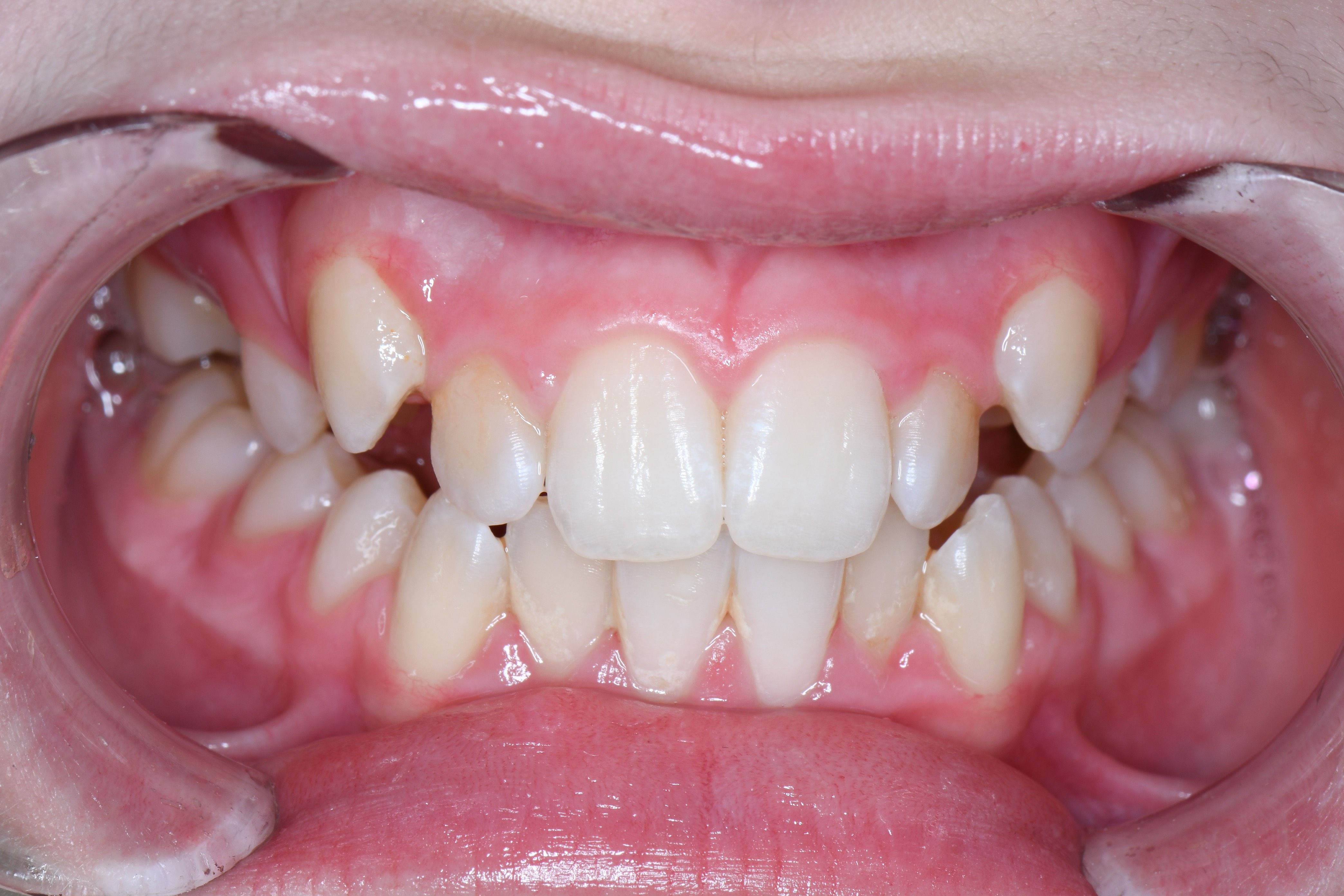
    примеры "до и после"
    Хотите задать вопрос доктору?

    Если Вы хотели узнать что-то про Вашу ситуацию, пожалуйста, опишите ее, я постараюсь ответить.

    Юлия Витальевна Стрелкова
    ортодонт
    Напишите нам!
    Ответим на все вопросы
    и запишем на консультацию.