Accessibility Tools

Перейти к содержимому
Комфортная
и доступная
стоматология

Протезирование на имплантатах

цена
«под ключ»
выгодное предложение
высокая эстетика
Одна из лучших клиник города по мнению пациентов
    цена «под ключ»
    выгодное предложение
    высокая эстетика

    Текущие акции:
    Проф. чистка зубов от
    6 325₽
    Осмотр и консультация врача
    бесплатно
    Скидка 15% особенным детям
    ⁠социальная программа скидка 5% многодетным и пенсионерам
    скидка 10% всем инвалидам
    участникам СВО скидка 10%

    Установка коронки на имплант — завершающий и самый важный этап имплантации. В AppleStom мы устанавливаем большое количество коронок, потому что специализируемся на имплантации зубов. И в этой работе для нас важны два принципа: идеальная форма коронки и только оригинальные компоненты.

    Почему это критично? Потому что от качества абатмента — соединяющего звена между имплантатом и коронкой — зависит, будет ли конструкция надёжной. Мы, к сожалению, часто переделываем работу после других клиник: приходят пациенты с подвижными коронками, воспалёнными дёснами, проблемами при прикусывании. Всё это — следствие экономии на комплектующих.

    Павел Викторович Макаров

    стоматолог - ортопед

    Мы никогда не экономим на важном. Используем только оригинальные титановые основания и абатменты от производителя импланта, точно соответствующие к каждому конкретному клиническому случаю. Это гарантия того, что коронка прослужит долго, будет стабильной и комфортной.

    Если вы рассматриваете протезирование на имплантах и ищите клинику в Москве с опытом и ответственным подходом — мы будем рады видеть вас у нас. Мы сделаем всё, чтобы ваше лечение прошло безопасно, предсказуемо и результат радовал вас долгие годы.

    Высокая точность

    Достигаем высокой точности благодаря современным цифровым технологиям

    Возвращаем утраченные зубы

    Избавляем от неудобств связанных с отсутствием зубов

    Уверенность в будущем

    Создаем условия для длительного срока службы имплантата и кронки

    В любом возрасте

    Имплантация позволяет восстановить зубы в любом возрасте

    Поговорим о точности

    Высокоточное компьютерное моделирование

    Наши пациенты получают точные конструкции не требующие доработок в кресле. Они были спроектированы на лучшем программном обеспечении и учитывают все анатомически важные нюансы, высоту десны, форму и оттенок, положение соседних зубов и антогонистов.

    Только оригинальные комплектующие от производителя

    Мы не экономим на качестве лечения, в нашей клинике допускается использование только оригинальных титановых оснований. Наши пациенты получают решение точно соответсвующее протоколам производителя имплантов Nobel Biocare из Швейцарии.

    Стоимость
    протезирования
    на имплантатах

    Стоимость включает в себя все необходимые процедуры и материалы
    Павел Викторович Макаров
    стоматолог - ортопед

    формирование десны

    сканирование положения

    определение цвета

    проектирование коронки

    производство

    фиксация коронки

    от 53 350 ₽

    Протезирование 1-го зуба

    винтовая фиксация,
    циркониевая или керамическая коронка

    от 141 350 ₽

    Протезирование 3-х зубов

    винтовая фиксация, циркониевый мост

    индивидуально

    Восстановление зубного ряда на имплантатах

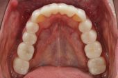
    До и после
    протезирования
    на имплантатах

    Мы можем восстановить передний зуб за 1 день.
    Артак Ваагнович Балаян

    главный врач, стоматолог - хирург, имплантолог

    Первыми мы теряем жевательные зубы, и конечно, чаще всего мы восстанавливаем именно их, прямо всей группой.
    Анна Анатольевна Кушнарева
    стоматолог - ортопед
    Восстановление всех зубов за один визит - это наш конёк.
    Эмиль Велиевич Ульянников

    стоматолог - хирург, имплантолог

    Напишите нам!
    Ответим на все вопросы
    и запишем на консультацию.