Accessibility Tools

Перейти к содержимому
Комфортная
и доступная
стоматология

Эстетическая реставрация зубов

Премиум материалы
Работаем под увеличением
Одна из лучших клиник города по мнению пациентов
    Текущие акции:
    Проф. чистка зубов от
    6 325₽
    Осмотр и консультация врача
    бесплатно
    Скидка 15% особенным детям
    ⁠социальная программа скидка 5% многодетным и пенсионерам
    скидка 10% всем инвалидам
    участникам СВО скидка 10%

    Эстетическая реставрация зубов

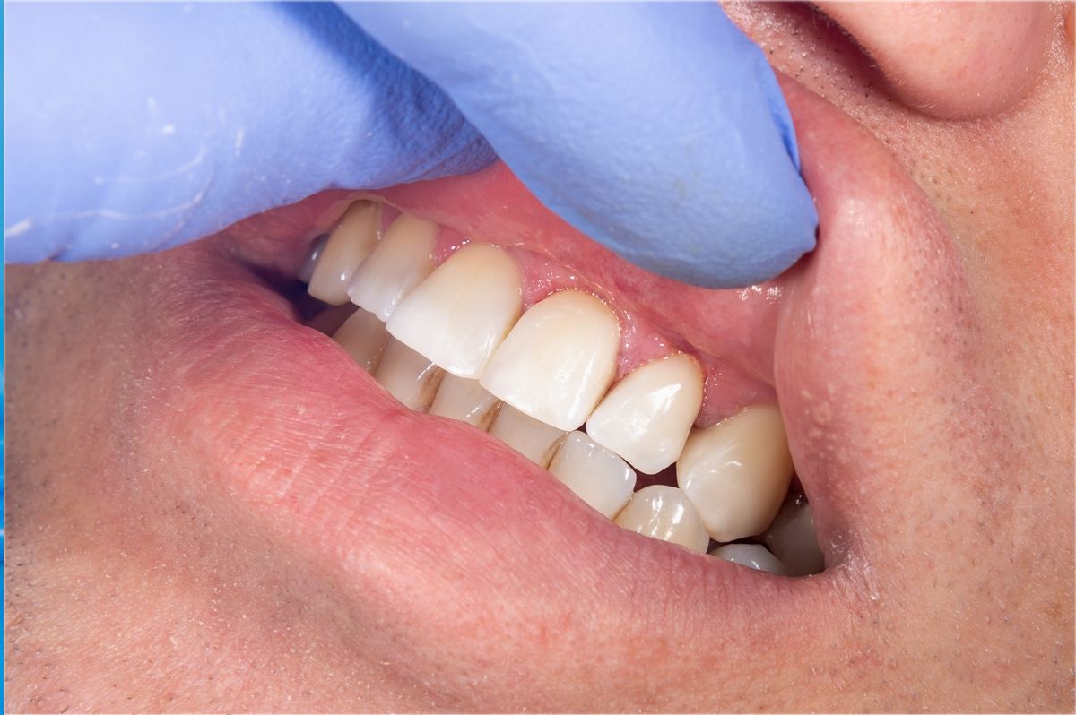
    Передние зубы — это то, что мы каждый день видим при общении. Даже небольшой скол, изменение цвета, асимметрия формы — всё это может мешать чувствовать себя уверенно. Мы понимаем, насколько важно для человека ощущать, что его улыбка выглядит красиво и естественно.

    В нашей клинике эстетическая реставрация — это не просто устранение кариеса. Это работа, в которой врач становится почти художником. Когда лечим передние зубы, мы всегда смотрим шире: можем предложить улучшить форму, добавить симметрии, восстановить стертые участки, скорректировать мелкие недостатки, которые портят впечатление от улыбки.

    Ульяна Вадимовна Александрова

    стоматолог - терапевт

    Нередко за один визит мы полностью преображаем зону улыбки, не прибегая к винирам или ортодонтическому лечению. Да, композитная реставрация уступает керамике по сроку службы и абсолютной эстетике, но для многих пациентов это отличный способ быстро и доступно преобразить свои зубы.

    Мы не предлагаем шаблонные решения. Мы видим каждую улыбку как индивидуальную. И если вам кажется, что что-то не так с формой или внешним видом зубов — не нужно мириться с этим. Приходите, и мы покажем, как можно изменить ситуацию легко и без боли. У нас есть всё, чтобы вернуть вам удовольствие от улыбки. Просто напишите нам, и мы сделаем это.

    Проектируем оптимальную форму передних зубов

    Проектируем красивый зубной ряд с оптимальной длиной и шириной зубов

    Изолируем область работы от слюны и крови
    Изоляция защищает зуб и улучшает герметичность прилегания материала
    Точно воссоздаем форму зубов по силиконовой модели
    Обрабатываем зубы, поэтопно наносим композит, создавая желаемую длинну и оттенок
    Финальная полировка

    Полируем композитные реставрации до гладкого и блестящего вида

    Стоимость
    эстетической реставрации
    передних зубов

    Стоимость включает в себя все необходимые процедуры и материалы
    Армине Артаваздовна Пахлян

    стоматолог-терапевт

    от 22 000 ₽
    Реставрация эстетическая одного переднего зуба
    от 44 000 ₽
    Реставрация эстетическая двух передних зубов
    рентген
    осмотр
    анестезия
    изоляция
    подбор цвета
    премиум материал
    контроль прикуса
    полировка
    Гарантия

    До и после
    эстетической реставрации
    передних зубов

    Красивое лечение кариеса передних зубов, это верх мастерства стоматолога.
    Армине Артаваздовна Пахлян

    стоматолог-терапевт

    Форма и цвет пломб должны точно соответствовать естественным зубам
    Армине Артаваздовна Пахлян

    стоматолог-терапевт

    Армине Артаваздовна Пахлян

    стоматолог - терапевт

    Павел Викторович Макаров

    стоматолог - ортопед

    Армине Артаваздовна Пахлян

    стоматолог - терапевт

    Эмиль Велиевич Ульянников

    хирург - имплантолог

    Юлия Витальевна Стрелкова

    стоматолог - ортодонт

    Кристина Алексеевна Александрова

    стоматолог - гигиенист
    Напишите нам!
    Ответим на все вопросы
    и запишем на консультацию.