Accessibility Tools

Перейти к содержимому
Комфортная
и доступная
стоматология

Отбеливание зубов

безопасное и комфортное

от 11 000 ₽
Zoom 4
amazing white
Одна из лучших клиник города по мнению пациентов
    Текущие акции:
    Проф. чистка зубов от
    6 325₽
    Осмотр и консультация врача
    бесплатно
    Скидка 15% особенным детям
    ⁠социальная программа скидка 5% многодетным и пенсионерам
    скидка 10% всем инвалидам
    участникам СВО скидка 10%

    Белые зубы — это не просто красиво. Это признак здоровья, уверенности и внимания к собственному здоровью.
    Но мы все любим кофе, кто-то курит, кто-то пьёт красное вино — всё это постепенно меняет цвет эмали. Если вы замечаете, что зубы стали темнее и улыбка уже не та — мы знаем, как помочь.

    Отбеливание зубов начинается с профессиональной чистки. Мы убираем налёт и подготавливаем эмаль. Уже на этом этапе зубы становятся светлее, а ткани зуба получают доступ к минералам и активным компонентам. Далее — основной этап: наносим защитный барьер на десны, а на зубы — специальный отбеливающий гель. Затем активируем его с помощью профессиональной лампы — и начинается безопасное и контролируемое осветление эмали.

    Кристина Алексеевна Александрова

    гигиенист

    Процедура абсолютно безболезненная. Мы не травмируем эмаль и не вызываем чувствительности — напротив, эмаль насыщается минералами, становится прочнее и светлее. За один визит можно осветлить зубы на 2–3 тона. Это сразу заметно.

    Если вы хотите, чтобы улыбка снова стала яркой, а комплименты звучали чаще — напишите нам. Мы подберём подходящий способ отбеливания именно для вас и сделаем это быстро, безопасно и с видимым эффектом. Белая и уверенная улыбка — за один визит в клинику AppleStom в Москве.

    Очищаем поверхность зубов от налета
    Проводим отбеливание и сравниваем результаты
    Делаем зубы крепче с помощью минерализующего геля
    Вы улыбаетесь и наслаждаетесь белизной зубов
    Как проходит отбеливание в AppleStom.
    Почему отбеливание зубов безопасно.

    Стоимость отбеливания зубов

    от 41 250 ₽

    Отбеливание клиническое аппаратом ZOOM

    Отбеливание 2 челюстей, 
    минерализация

    Ваша улыбка будет сиять!
    Кристина Алексеевна Александрова
    гигиенист

    от 18 150 ₽

    Отбеливание клиническое аппаратом Amazing White

    Отбеливание 2 челюстей, 
    минерализация

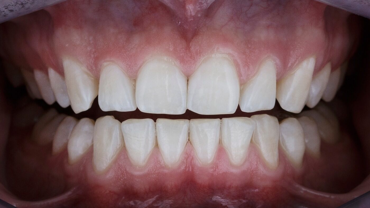
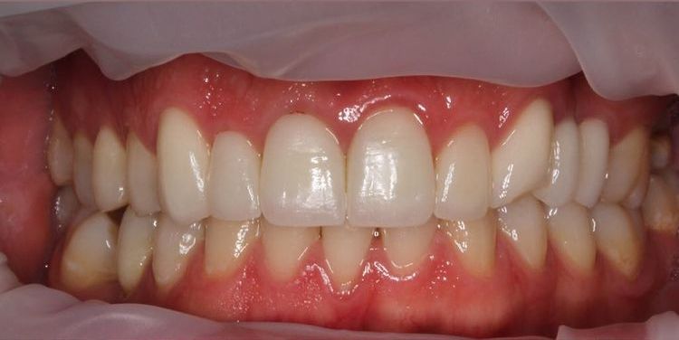
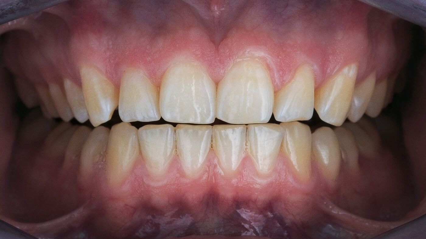
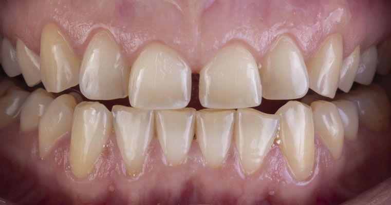
    До и после
    отбеливания зубов

    Отбеливание приносит пользу зубам, так как в геле для отбеливания содержатся минералы укрепляющие эмаль.
    Кристина Алексеевна Александрова
    гигиенист
    Напишите нам!
    Ответим на все вопросы
    и запишем на консультацию.