Accessibility Tools

Перейти к содержимому
Комфортная
и доступная
стоматология

Циркониевые коронки

по доступной цене
в рассрочку
цена «под ключ»
выгодное предложение
высокая эстетика

Одна из лучших клиник города по мнению пациентов
    Текущие акции:
    Проф. чистка зубов от
    6 325₽
    Осмотр и консультация врача
    бесплатно
    Скидка 15% особенным детям
    ⁠социальная программа скидка 5% многодетным и пенсионерам
    скидка 10% всем инвалидам
    участникам СВО скидка 10%
    цена «под ключ»
    выгодное предложение
    высокая эстетика

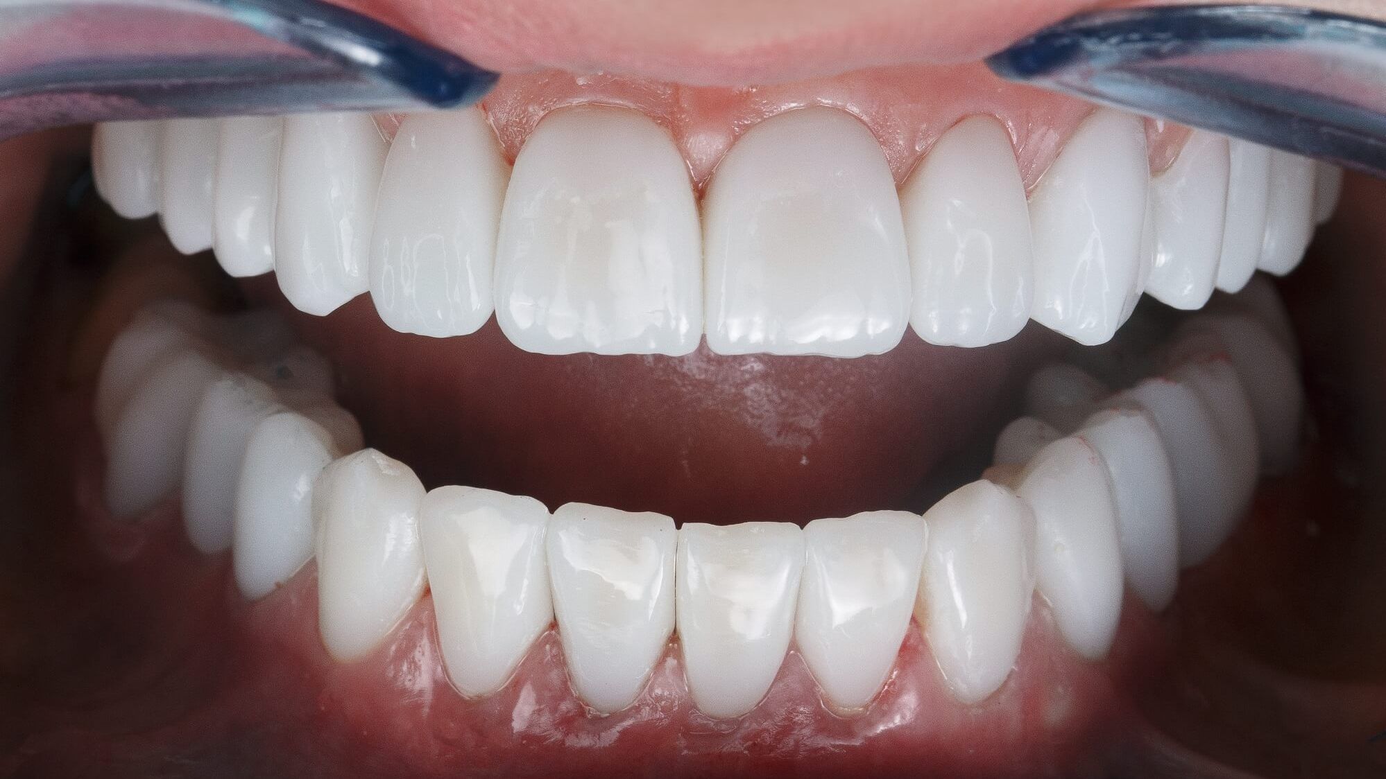
    Циркониевые коронки — это мировой стандарт в современной стоматологии. Сегодня, в России, они уверенно вытесняют металлокерамику, уступающую им по всем параметрам.

    Почему мы выбираем диоксид циркония? Потому что он прочен, визуально не отличим от зубной эмали, не вызывает раздражения у десны и надёжно защищает зуб от внешнего воздействия. Особенно хорошо циркониевые коронки работают в зонах с высокой жевательной нагрузкой — на жевательных зубах.

    Павел Викторович Макаров

    стоматолог - ортопед

    Но главное их преимущество — это возможность создавать мостовидные конструкции на несколько зубов, а также целые челюстные протезы для фиксации на имплантаты. Именно такой протез мы применяем в наших тотальных реконструкциях, которые дают пациенту новую улыбку и качество жизни.

    В клинике AppleStom мы гордимся качеством своих работ. Посмотрите на результаты наших стоматологов ортопедов в разделе «до и после» и приходите к нам, чтобы получить свою надёжную, эстетичную и долговечную коронку.

    Прочность

    И как следствие длительный срок службы, это важнейшее качество коронок и мостов

    Эстетика

    Отсутсвие реакции десны и точное попадание в цвет соседних зубов

    Цифровые 3D технологии

    Делают возможным создание точной анатомичной формы зуба

    Сохраняем ткани зуба

    Циркониевые коронки тоньше, это позволяет уменьшить обточку зуба и сохранить зуб живым

    3D сканирование зубов - комфорт для пациента, точность для доктора.
    Коронка или пломба, как правильно выбрать чем восстановить зуб.
    Три самый популярных вопроса про керамические виниры.

    Диоксид циркония - это основной материал в современной стоматологии. Мы накопили большой опыт в восстановлении зубов с применением этого материала.

    Павел Викторович Макаров
    стоматолог-ортопед
    Прочность и эстетика
    в полости рта
    на модели

    Стоимость
    установки циркониевых
    коронок

    Если Вы хотите сделать улыбку красивой, Вы на правильном пути, запишитесь к нам на консультацию!
    Павел Викторович Макаров

    стоматолог - ортопед

    фотопротокол и консультация
    бесплатно
    снятие слепков и моделирование будущей улыбки
    от 2 585 ₽
    примерка будущей улыбки без обточки зубов
    от 2 200 ₽ за ед.

    от 38 500 ₽

    Протезирование 1-го зуба

    от 115 500 ₽

    Протезирование 3-х зубов мостом с циркониевым основанием

    от 539 000 ₽

    Тотальное протезирование всех зубов циркониевыми коронками
    Напишите нам!
    Ответим на все вопросы
    и запишем на консультацию.