Accessibility Tools

Перейти к содержимому
Комфортная
и доступная
стоматология

Профессиональная гигиена зубов

по доступной цене
от 6 325 ₽
PROPHYLAXIS MASTER
Абонементы на чистку зубов
Гарантия качества
Одна из лучших клиник города по мнению пациентов
    по доступной цене
    от 5 750 ₽/мес
    PROPHYLAXIS MASTER
    Абонементы на чистку зубов
    Гарантия качества

    Текущие акции:
    Проф. чистка зубов от
    6 325₽
    Осмотр и консультация врача
    бесплатно
    Скидка 15% особенным детям
    ⁠социальная программа скидка 5% многодетным и пенсионерам
    скидка 10% всем инвалидам
    участникам СВО скидка 10%

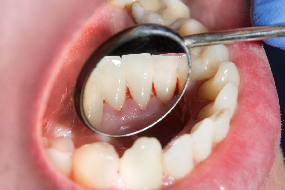
    Профессиональная чистка зубов в кабинете стоматолога — это основа здоровой улыбки. Её можно откладывать, и тогда вы увидите, как десна отступает, появляется кариес между зубами, а запах изо рта начинает смущать окружающих. Или можно прислушаться к опыту тех, кто всю жизнь сохраняет здоровые зубы — и сделать эту простую, но важную процедуру регулярной частью ухода за собой.

    Профессиональную чистку зубов часто воспринимается как что-то второстепенное. К сожалению, именно из-за этого многие теряют зубы в 30–40 лет, хотя этого можно было легко избежать. Мы в клинике AppleStom видим это ежедневно и не устаем повторять: не стоит ждать, пока станет поздно. Профгигиена — это просто, недорого и абсолютно безболезненно.

    Кристина Алексеевна Александрова

    гигиенист

    Что мы делаем во время чистки? Мы бережно удаляем зубной налёт и камень — из-под десны, между зубами и в тех зонах, куда не добирается щётка. После процедуры зубы становятся светлее, гладкими на ощупь, дыхание — свежим, а улыбка — более уверенной. Вам не нужно ничего придумывать — эффект будет виден сразу.

    Попробуйте! Это займет не больше часа, а ощущение — как после посещения спа для зубов.
    Ваши зубы скажут вам «спасибо»!

    Удаление отложений ультразвуковым скалером

    Деликатно снимаем отвердевшие отложения в труднодоступных местах 

    Очистка эмали зубов AirFlow

    Смесь воздуха и мягкой абразивной крошки снимает налет с поверхности зубов и устраняет отложения глубоко между зубами

    Полировка эмали

    Полируем эмаль до блеска с помощью специальной мягкой насадки и крема

    Активная минерализация

    Покрываем зубы активным средством питающим и укрепляющим зубы

    В чём секрет комфортной гиигены полости рта в AppleStom?
    Стоматолог гигиенист за работой.
    Гигиена проводится в 4 руки, вместе с ассистентом.

    Стоимость
    профессиональной чистки
    зубов

    Вы удивитесь увидев свои чистые белые зубы.
    Кристина Алексеевна Александрова
    гигиенист

    от 8 415 ₽

    Профессиональная гигиена "Эстетика и гигиена"

    Удаление зубного камня ультразвуком, очистка от эмали аппаратом "Air Flow", полировка, минерализация

    от 5 885 ₽

    Повторная чистка через 3 месяцев

    Удаление зубного камня ультразвуком, очистка от эмали аппаратом "Air Flow", полировка, минерализация

    от 7 150 ₽

    Повторная чистка через 6 месяцев

    Удаление зубного камня ультразвуком, очистка от эмали аппаратом "Air Flow", полировка, минерализация

    от 15 015 ₽

    Профессиональная гигиена полости рта на аппарате PROPHYLAXIS MASTER

    Удаление зубного камня ультразвуком, очистка от эмали аппаратом.

    До и после
    профессиональной чистки
    зубов

    Бактериальный налет главная угроза здоровью зубов
    Кристина Алексеевна Александрова
    гигиенист
    Иногда мы сочетаем гигиену с отбеливанием, это дает потрясающий эффект.
    Кристина Алексеевна Александрова
    гигиенист
    Важно помнить, что все заболевания зубов происходят из-за бактерий.
    Кристина Алексеевна Александрова
    гигиенист
    Мы применяем таблетки подсвечивающие налет, чтобы Вы лучше видели области требующие внимания.
    Кристина Алексеевна Александрова
    гигиенист

    Пациент прекрасно следит за гигиеной зубов.

    С помощью специального пигмента мы выявляем области скопления бактерий.

    Уделяем особое внимание очистке подкрашенных областей.

    Напишите нам!
    Ответим на все вопросы
    и запишем на консультацию.