Имплантация всех зубов
All-on-4
«под ключ»
«под ключ»
Имплантация всех зубов — это высший пилотаж в хирургической стоматологии. Это комплексная операция, к которой любой хирург приходит спустя годы обучения, практики и наблюдений за лучшими специалистами. Именно в таких операциях реализуется весь багаж знаний: анатомия, работа с разным типом кости, навыки обращения с мягкими тканями и, конечно, протезирование.
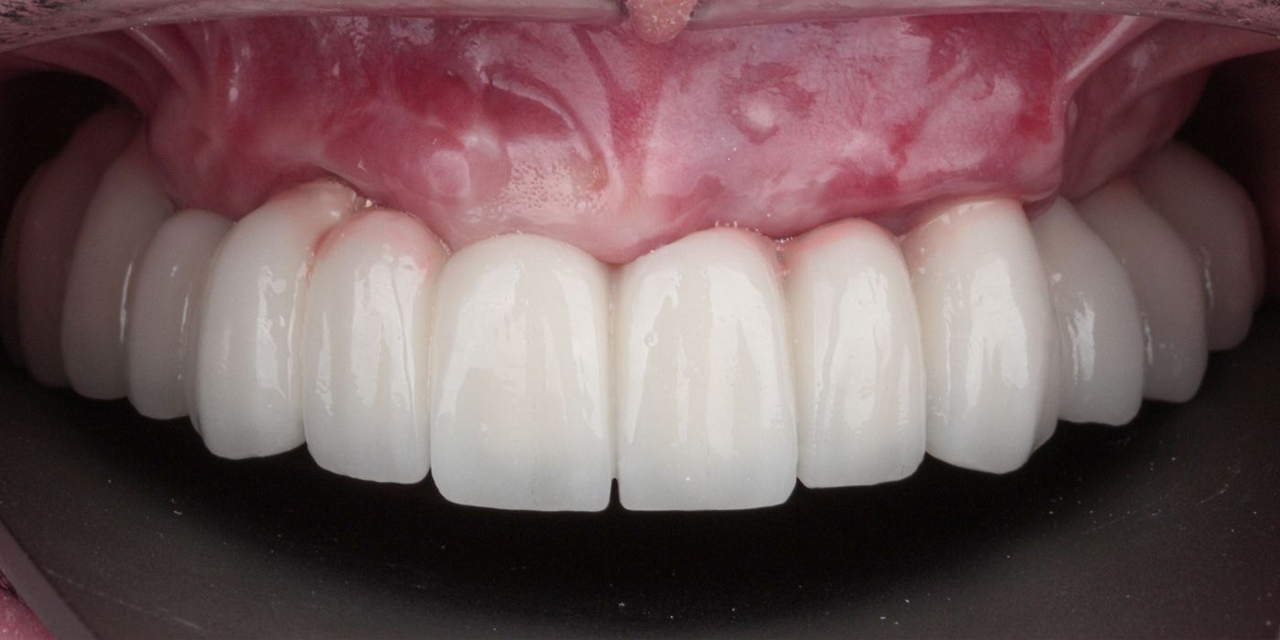
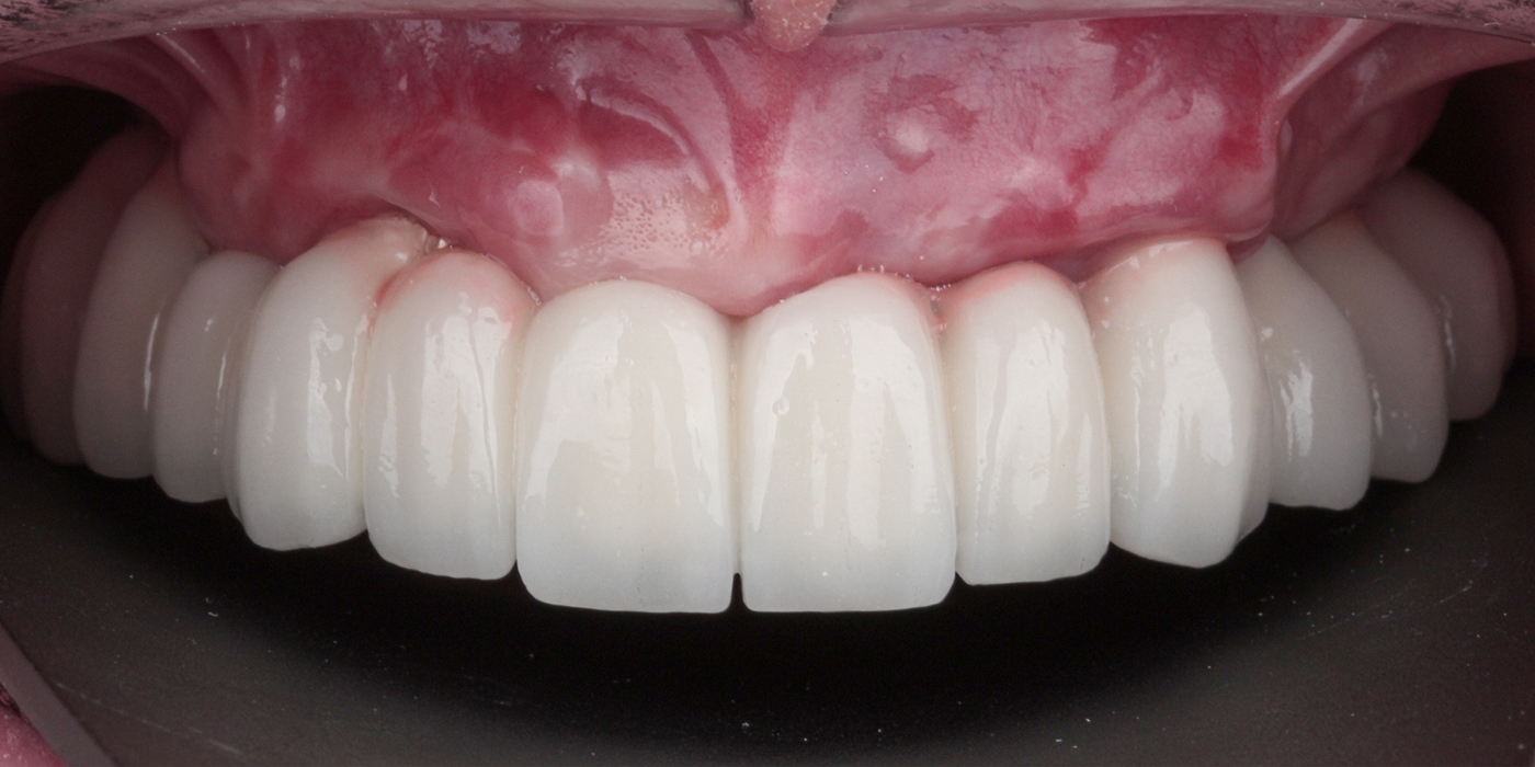
В клинике AppleStom мы регулярно проводим операции по полному восстановлению зубов с применением концепции All-on-4 — все зубы на четырёх, шести или восьми имплантатах. Это позволяет решить проблему полностью всего за один день. Вы приходите утром — а уходите с новыми зубами. Это не просто удобно, это возвращает качество жизни.
Артак Ваагнович Балаян
Мы тщательно планируем каждую операцию: от подбора протеза и количества имплантатов до моделирования нагрузки и фиксации. Учитывается анатомия, особенности челюсти, пожелания пациента. Всё проходит под глубоким наркозом — пациент ничего не чувствует, он спит во время операции под контролем врача реаниматолога.
Эти операции мы любим и гордимся результатами. Пациенты получают сразу эстетичный и надёжный результат, который улучшает качество жизни. Мы хотим выполнять такие операции чаще, потому что знаем — у нас это получается на высоком уровне.
Если вы рассматриваете имплантацию всех зубов в Москве, приходите в AppleStom. Мы составим для вас подробный план лечения и покажем реальные примеры наших успешных работ.
- опытные врачи
- цифровое планирование
- качественная анестезия
- комплексный подход
- цифровое проектирование
- высокая эстетика
- опытные врачи
- цифровое планирование
- все виды седации
- опытные врачи
- цифровое планирование
- быстрый прогресс
Стоимость
имплантации всех зубов
на имплантатах All-on-4
Установим импланты с использованием проверенной местной анестезии
диагностика
имплантатов
врача
от 253 000 ₽
установка 4 х имплантов Nobel Biocare
от 130 900 ₽
Поставим несъёмный протез, который не отличается от ваших зубов
от 76 900 ₽
от 380 490 ₽
Первый платеж
Ежемесячный платеж
на протяжении 12-ти месяцев
Полная стоимость
Объективная цифровая диагностика
Пожизненная гарантия на импланты от производителя
Эмиль Велиевич Ульянников
Врачи международного уровня
Оптимальное соотношение цены и качества
Эмиль Велиевич Ульянников
Опыт работы свыше 15 лет в сфере челюстно-лицевой хирургии и имплантологии. Без сомнения однин из лучших челюстно-лицевых хирургов в городе. Большинство пациентов хотят попасть на прием именно к нему, и это справедливо, т.к. доктор имеет огромный опыт работы, на его счету тысячи поставленных имплантатов, синус-лифтингов, костных пластик, пародонтологического вмешательства при имплантации, одномоментной имплантации.
По мнению пациентов у него «золотые руки» и он делает невозможное. Попав на консультацию к Эмилю Велиевичу Ульянникову , вам точно захочется остаться лечиться именно у этого доктора.
Павел Викторович Макаров
Эмиль Велиевич Ульянников