Accessibility Tools

Перейти к содержимому
Комфортная
и доступная
стоматология
Одна из лучших клиник города по мнению пациентов

    Металлические брекеты

    по доступной  цене
    от 22 715 /мес
    цена
    «под ключ»
    выгодное предложение
    в любом возрасте

    Текущие акции:
    Проф. чистка зубов от
    6 325₽
    Осмотр и консультация врача
    бесплатно
    Скидка 15% особенным детям
    ⁠социальная программа скидка 5% многодетным и пенсионерам
    скидка 10% всем инвалидам
    участникам СВО скидка 10%

    по доступной  цене

    от 20 650 /мес
    цена за челюсть
    «под ключ»
    выгодное предложение
    в любом возрасте

    Металлические брекеты — это, можно сказать, классика жанра. Да, они могут быть заметны на зубах, но именно они самые надежные и эффективные. Эти брекеты идеально подходят для тех, кому нужно быстро и точно исправить прикус.

    Юлия Витальевна Стрелкова

    врач стоматолог- ортодонт

    Не смотря на свою «металлическую» репутацию, они весьма комфортны, устойчивы к различным нагрузкам. К тому же, металлические брекеты подходят для большинства случаев, когда требуется серьезная коррекция, и работают даже с самыми сложными аномалиями. Если вы хотите решить проблему с зубами максимально эффективно и при этом не боитесь, что брекеты будут заметны — это ваш выбор.

    Что еще приятно — металлические брекеты более доступные по цене, чем керамические конструкции или элайнеры, они прочные, не бояться сколов и повреждений. Мы позаботимся, чтобы установка была комфортной, а результат — вас удивил. Ждем вас в нашей клинике AppleStom в Москве.

    Определяем причину положения зубов

    Проектируем последовательность и направление движение зубочелюстной системы

    Гладкие и комфортные брекеты DamonQ

    Удобные самолигирующие брекеты с облегченным движением брекета по дуге, ускоряющие ход лечения

    Досупные классические металлические брекеты

    Самая распространенная лигатурная брекет система, оптимальное сочетание цены и качества

    Профессиональная гигиена на период лечения брекетами

    Обязательная профессиональная гигиена зубов в области брекетов

    Имплантация зуба или ортодонтическое лечение, что сделать первым?
    Элайнеры - комфортный и современный инструмент ортодонтического лечения
    Кондилография - важное исследование при планировании ортодонтического лечения

    Стоимость
    исправления прикуса
    металлическими брекетами

    Эффективно исправляем прикус с помощью комфортных металлических брекетов. Создаем ровный и здоровый зубной ряд.
    Юлия Витальевна Стрелкова

    врач стоматолог- ортодонт

    фотопротокол и консультация

    бесплатно

    сканирование зубов и моделирование будущей улыбки

    входит в стоимость

    профессиональная гигиена перед установкой брекетов

    от 8 415 р

    Ортодонтическое лечение на металлической лигатурной брекет-системе

    от 454 300 ₽

    Активация

    входит в стоимость

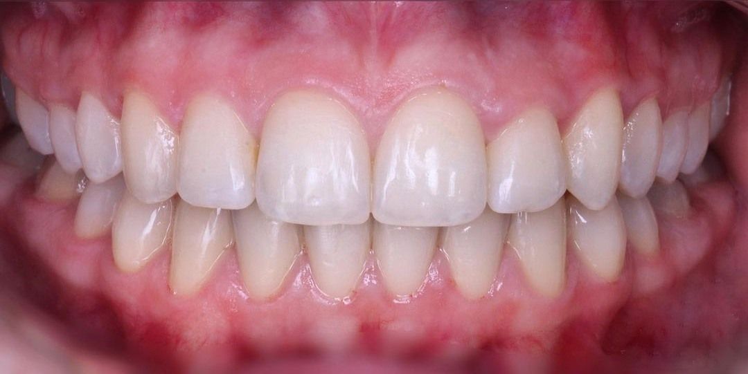
    До и после
    исправления прикуса
    металлическими брекетами

    Екатерина Юрьевна Мороз
    ортодонт

    Металлические брекеты самый распространенный и эффективный метод исправления прикуса.

    Екатерина Юрьевна Мороз
    ортодонт

    Мы помогаем пациентам в любом возрасте, но оптимально обращаться к ортодонту в момент формирования прикуса.

    Юлия Витальевна Стрелкова
    ортодонт

    Мы часто обладаем потрясающе красивыми зубами, надо только переместить их в правильное положение.

    Напишите нам!
    Ответим на все вопросы
    и запишем на консультацию.