Accessibility Tools

Перейти к содержимому
Комфортная
и доступная
стоматология

Керамические коронки

по доступной цене
в рассрочку
В рассрочку
выгодное предложение
высокая эстетика

Одна из лучших клиник города по мнению пациентов
    Текущие акции:
    Проф. чистка зубов от
    6 325₽
    Осмотр и консультация врача
    бесплатно
    Скидка 15% особенным детям
    ⁠социальная программа скидка 5% многодетным и пенсионерам
    скидка 10% всем инвалидам
    участникам СВО скидка 10%
    цена «под ключ»
    выгодное предложение
    высокая эстетика

    Керамические коронки — один из самых красивых и современных способов восстановления зубов. Если вы знаете, как преображает улыбку установка виниров, представьте себе, что керамическая коронка делает то же самое, но полностью охватывает зуб, защищая его со всех сторон. Это не просто протез — это эстетическая реставрация, не отличимая от настоящих зубов.

    Что делает керамические коронки особенно привлекательными? Это их натуральность. Коронка создаётся вручную: керамист слой за слоем наносит материал и запекает его, добиваясь мягких цветовых переходов, живой текстуры и лёгкой прозрачности. Именно поэтому керамика так гармонично смотрится в полости рта и становится «новой эмалью» — только ещё красивее.

    Денис Владимирович Коробейников

    стоматолог-терапевт, ортопед

    В AppleStom мы используем керамические коронки при восстановлении передних зубов и в рамках тотального протезирования. Все работы выполняются с вниманием к мельчайшим деталям — от подбора формы до точности фиксации. Если вы хотите получить улыбку, которой можно гордиться, приходите на консультацию. И обязательно посмотрите наши примеры работ «до и после».

    Проводим фотопротокол и комплексную диагностику

    Проектируем будущую форму и цвет зубов

    Изготавливаем эстетичные коронки из керамики

    Гарантируем, что Вы останетесь довольны

    3D сканирование зубов - комфорт для пациента, точность для доктора.
    Коронка или пломба, как правильно выбрать чем восстановить зуб.
    Три самый популярных вопроса про керамические виниры.
    Идеальная форма и цвет

    Керамические коронки кардинально преображают улыбку, так-же как керамические виниры. Их отличие в том, что они закрывают всю поверхность зуба. Очень часто мы комбинируем эти два типа керамических ретавраций при восстановлении всего зубного ряда.

    Стоимость установки
    керамических коронок

    Если Вы хотите сделать улыбку красивой, Вы на правильном пути, запишитесь к нам на консультацию!
    Сергей Юрьевич Котоменков

    стоматолог-терапевт, ортопед

    фотопротокол и консультация

    бесплатно

    сканирование зубов и моделирование будущей улыбки

    2 585 ₽

    примерка будущей улыбки без обточки зубов

    от 2 200 ₽ за ед.

    Эстетическое протезирование 1-го зуба

    44 000 ₽ - 66 000 ₽

    Протезирование 4-х зубов керамическими коронками

    44 000 ₽ - 66 000 ₽ за 1 ед

    Эстетическое и функциональное протезирование всей челюсти

    44 000 ₽ -66 000 ₽ за 1 ед

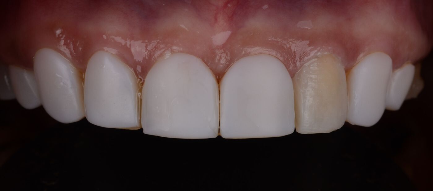
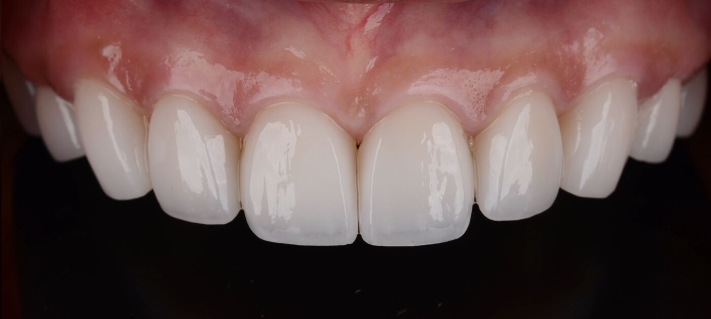
    До и после установки
    керамических коронок

    Денис Владимирович Коробейников
    стоматолог-ортопед
    Часто к нам обращаются за переделкой композитных пломб на эстетичные керамические виниры.
    Арутюн Камоевич Никогосян
    стоматолог-ортопед
    Для мужчин красивая улыбка не менее важна. Здоровые зубы это обязательный атрибут состоявшегося человека.

    Георгий Амеранович Хухуа

    стоматолог - ортопед
    Время не щадит эмаль наших зубов. Меняя улыбку, мы возвращаем Вам молодость.
    Напишите нам!
    Ответим на все вопросы
    и запишем на консультацию.