Accessibility Tools

Перейти к содержимому
Комфортная
и доступная
стоматология

Армине Артаваздовна Пахлян

Врач высшей квалификационной категории, стоматолог - терапевт, микроскопист

Работаю с высокой точностью и вниманием к деталям. Индивидуальный подход к каждому пациенту — основа моей практики. Постоянно совершенствую свои навыки и применяю современные, научно обоснованные методики лечения.

Специализируюсь на:
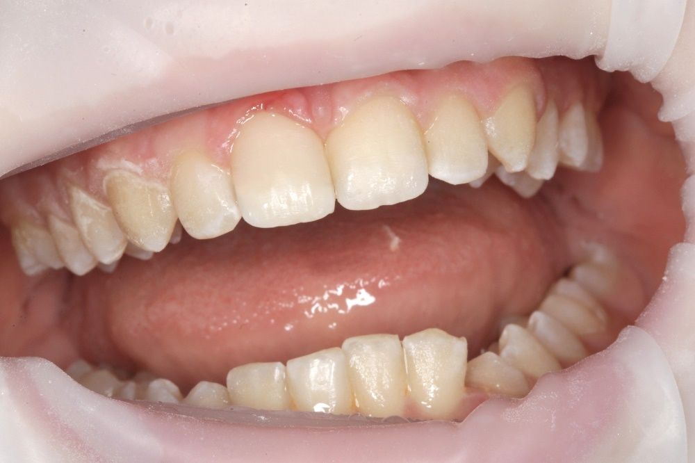
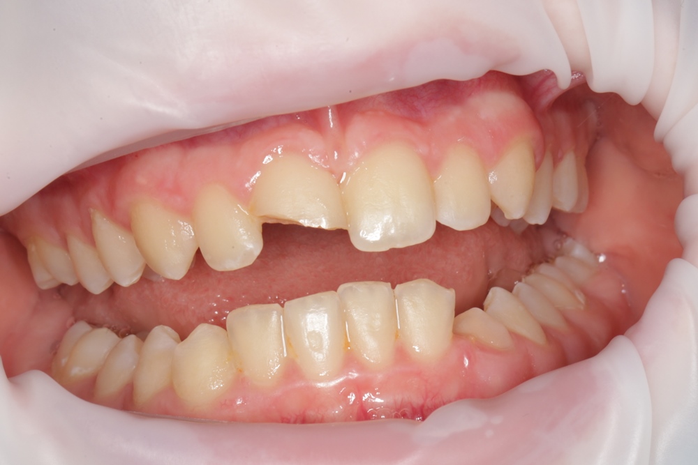
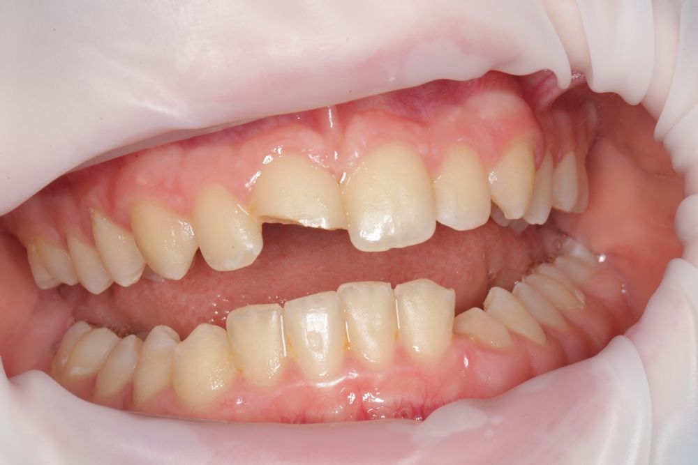
- Эстетической (художественной) реставрации зубов 
- Работе с микроскопом 
- Первичном и повторном эндодонтическом лечении постоянных и молочных зубов 
- Ретроградной пломбировке корневых каналов 
- Восстановлении зубов различной степени сложности 
- Лечении в седации и под общим наркозом 
- Профессиональном отбеливании зубов

Стаж работы — более 14 лет
Врач высшей квалификационной категории
Высшее образование
  • 2004г -2009 г -“Ереванский государственный медицинский университет имени М. Гераци .

  • 2010г- 2011г- Российский университет дружба народы г. Москва ( интернатура по общий практике).
    01 декабря 2020г -25 декабря

  • 2020г-«Национальная Учебный Центр»- Терапевтическая стоматология и детская стоматология, повышение квалификации с продлением сертификата .

Сертификаты :

  • ООО «Национальный Учебный Центр» 1177270032298 25 декабря 2020г.стоматология детская
  • ООО «Национальный Учебный Центр» 1177270032067 30 ноября 2020г. стоматология терапевтическая
Доп. профессиональное образование
  • Прямая реставрация фронтальной группы зубов. (Крутиков Д. В.) 30. 05. 2017г

  • The 4th Endodontic Congress (Prof. Silvio Luigi Taschieri ) 24.04. 2018.

  • Доступная эндоконидия (Мингазеева Ю.А.) 17.03.2019.

  • Clinical aspects of everyday Endodontics (Dr. Solomonov Michael ) 8-9 February 2020

  • Микроскоп стоматологический . Обучение работа с оперативным микроскопом (Елена Липатова) 12-13 декабря 2020г.

  • Коффердам с практикой ( Степашко И. В.)

  • Применение программного обеспечения i-CAT Vision для конусно- лучевой компьютерной томографии в стоматологии (Надточий А. Г.)

  • Мастер-класс по эффективному и безопасному проведению процедуры клинического отбеливания при помощи системы Philips ZOOM ( Садовский В.В) 20. 12. 2014.

  • Прокачай свое Эндо ( Савельева Н. А.) 2022г.

  • Неотложные состояния в кресле стоматолога .

  • Direct posterior variations of anatomy Боковой сегмент ,class 1 ( Беретерь Руслан) 19 ноября 2022

  • Direct posterior variations of anatomy Боковой сегмент, class 2 (Баретерь Руслан ) 20 ноября 2022

  • Direct restoration Фронтальный сегмент class 3,4 (Баретерь Руслан ) 18 ноября 2022

  • Dental photography (O. Kyznetsova) 25.10. 2022.

  • Седация и наркоз в стоматологии ( Александр Савицкий , Антонина Гецман ) 21-22 октября 2023г.

  • Восстановление молочных зубов коронками (Ольга Мельникова) 16-17 мая 2024г.

  • Перелечивание сложные случаи в Эндодонтии (Елена Липатова) 16. 06.2024г

Myrashkina
источник: Яндекс Карты
Хочу выразить благодарность врачу стоматологу терапевту Пахлян Армине Артаваздовне за профессионализм и внимательное отношение к пациентам! Желаю здоровья и благополучия!
Анна
источник: Яндекс Карты
Впервые посетила современную частную стоматологию. Я вообще очень боюсь стоматологов, и всего, наверное, что связано с ними, поэтому и вот так и вышло… Что в данные места я не особо стремилась и торопилась пойти))) Ну, впечатления, конечно, просто потрясающие! Мне вылечили 2 зуба: удалили повреждённые участки и восстановили их с помощью современного материала. Стоматолог Армине Артавазовна очень доброжелательная и спокойная. Она аккуратно выполняла свою работу. Это был мой первый опыт посещения частной современной клиники, и он оказался приятным. Буду лечить зубы только здесь))) 🍏
Евгения
источник: Яндекс Карты
Посещаем данную клинику с двумя детьми, 5 и 8 лет. Изначально пришли с проверкой и подозрением на кариес, что и подтвердилось рентгеном. Врач Пахлян А.А. внимательно осмотрела и озвучила что нужно делать, как, в какой последовательности. Очень дружелюбна и внимательна к детям в плане их психологического состояния. Дети к ней прониклись, оба без проблем лечили у неё зубы. В клинике есть вся современная и необходимая аппаратура, в том числе и для лечения детских зубов, она оказывается отличается от взрослых. Есть так же и анестезиолог, который в случае необходимости и дозу подберёт и всё проконтролирует, если нужно. Далее нас направили (были показания) к ортодонту. У старшего снизу постоянные зубы выросли скученно. Попали мы к врачу Козину Д. С. . Молодой специалист, отнеслась настороженно. Но его знания и отношение к делу развеяли все сомнения! Подробно исследовал наш случай, продумал план коррекции. На каждом этапе подробно рассказывал зачем это и что мы будем делать в том или ином случае. Как лучше сделать для ребёнка, удобнее, практичнее. Сейчас уже установили коррекционную пластину. Ребёнок на всех этапах довольный бежал к врачу. Всё впечатление от клиники, начиная с ресепшена положительное!!!
    Хотите задать вопрос доктору?

    Если Вы хотели узнать что-то про Вашу ситуацию, пожалуйста, опишите ее, я постараюсь ответить.

    Армине Артаваздовна Пахлян
    стоматолог - терапевт
    Напишите нам!
    Ответим на все вопросы
    и запишем на консультацию.