Accessibility Tools

Перейти к содержимому
Комфортная
и доступная
стоматология

Эмиль Велиевич Ульянников

хирург - имплантолог

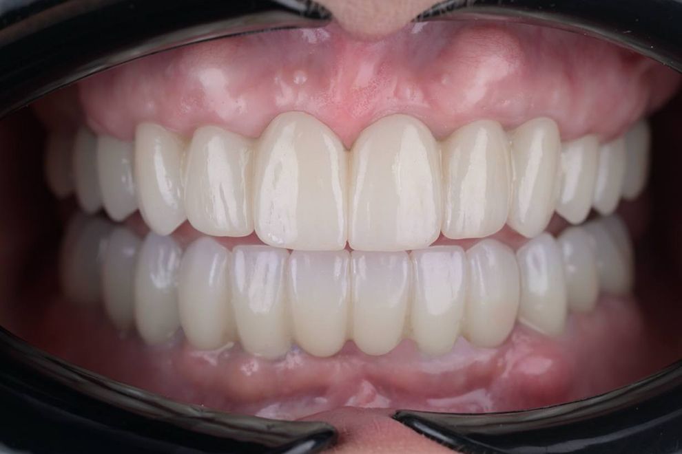
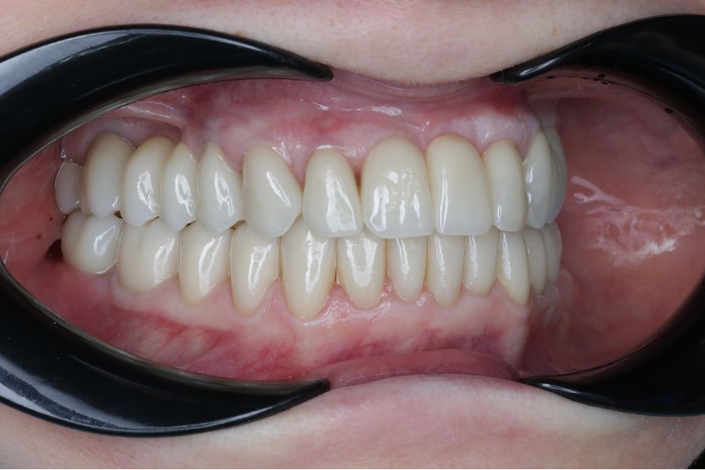
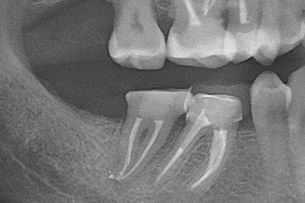
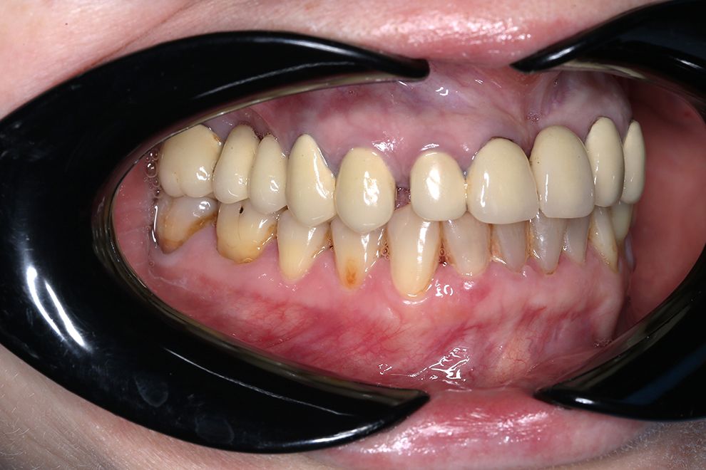
Специализируюсь на реабилитации пациентов с частичной и полной утратой зубов, мягкотканной пластики в области зубов и имплантатов, пластики рецессий десны, костных пластиках, тотальной реабилитации пациентов на имплантатах с нагрузкой новыми «зубами» за один день. Прохожу постоянное обучение как у известных лекторов, так и самостоятельно изучаю литературу (книги, статьи). В 2024 году начал самостоятельно обучать других докторов и делиться знаниями, выступив на согласительной конференции “Пациент в центре внимания» от компании Nobel Biocare.
Высшее образование
  • Диплом: Российский университет дружбы народов (РУДН) 1077040143130 06.06.2018 Стоматология, Базовое образование
  • Ординатура: МОНИКИ им. М.Ф. Владимирского 115019044851 31.07. 2020, Стоматология хирургическая
  • Сертификат/аккредитация: 2022.2919630 27.11.2020, Стоматология хирургическая
Доп. профессиональное образование
  • IX International Scientific Conference 2018

  • Онлайн-интенсив «Синус-лифт. Как не бояться осложнений?» 2019

  • «ProDenta, Christmas Symposium 2020» 2020
    «Немедленная имплантация на системе Astra Tech» Нина Каграманян 2021

  • Конференция «Системный подход в имплантации при полной адентии» Алирдас Пуйшис 2021

  • «Костная пластика или резидуальная кость. Алгоритмы принятия решения” Ильгам Уразбахтин, Пётр Лазукин 2022

  • “Тактика врача-стоматолога при заболеваниях слизистой оболочки полости рта» Тиунова Н.В. 2022

  • «Анестезиология в стоматологии» Хинчук Андрей 2022

  • «Второй конгресс регенеративной хирургии» Артавазд Зограбян, Борис Бернацкий, Баграт Смбатян, Ильгам Уразбахтин, Петр Лазукин, Михаил Дзюба, Тарас Юров 2023

  • «Основы имплантологического лечения и мягкотканной аугментации» Саба Хурцилава 2023
    Концепции All-on-4 Т. Юров, А. Бикбаев 2023

  • «Третий конгресс регенеративной хирургии» Тарас Юров, Олег Пономарев, Руслан Новомирский, Вячеслав Куликов, Мурат Гучетль, Алексей Рябов, Иван Курдюмов, Василий Бочаров 2024

отзывы пациентов
Елена
источник: Яндекс Карты
Хотела выразить огромную благодарность всем врачам! Все профессионалы своего дела на все 100%!! Грамотно проконсультируют, назначат план лечения и просто спасибо за человеческое общение, а иногда и юмор) Хочу поблагодарить хирурга Ульянникова Эмиля Велиевича за его работу! Все прошло быстро и максимально комфортно! Желаю вашей клинике хороших благодарных клиентов! Вы все отличная команда!
Андрей
источник: Яндекс Карты
Благодарен клинике за работу! Установил имплант у доктора Ульянникова Э.В. и за одно удалил зуб мудрости, очень чутко доктор подошел ко всему! Рекомендую!
Марина
источник: Яндекс Карты
Я очень рада, что попала в стоматологию Apple-Storm! Это действительно клиника, где сочетаются профессионализм, современное оборудование и заботливое отношение к пациентам. Уютный интерьер, доброжелательный персонал и конечно же прекрасная музыка помогают чувствовать себя расслабленно даже тем, кто боится стоматологов. Особенно хочу поблагодарить Ульянникова Эмиля Валиевича и Коробейникова Дениса Владимировича, а также их ассистентов, которые проводят лечение на высоком уровне! Однозначно рекомендую!
    Хотите задать вопрос доктору?

    Если Вы хотели узнать что-то про Вашу ситуацию, пожалуйста, опишите ее, я постараюсь ответить.

    Эмиль Велиевич Ульянников

    хирург - имплантолог

    Напишите нам!
    Ответим на все вопросы
    и запишем на консультацию.