Accessibility Tools

Перейти к содержимому
Комфортная
и доступная
стоматология

Сергей Артурович Габриелян

стоматолог - терапевт

Стаж более 7 лет
Врач высшей категории
Эксперт по художественным реставрациям
Работает с индивидуальной увеличительной оптикой
Применяет микроскоп в лечении
Специалист по отбеливанию зубов
Специализируется по травме зубов
Специалист по лечению постоянных зубов у детей старше 15 лет
Проводит лечение и перелечивание зубов, а также сложные эндодонтические работы

Высшее образование
  • Курский Государственный Медицинский Университет 2013-2018г.

  • Повышение квалификации, аккредитация специалиста: 16.11.2020г.

  • Уникальный номер реестровой записи об аккредитации: 4620 031250290

Доп. профессиональное образование
  • 2017 г. – Участник дискуссионного клуба «Квинтэссенция»

  • 2017 г. – Обучающий теоретический и практический курс Павла Пола по прямой композитной реставрации

  • 2017 г. – Научно-практическая конференция «Актуальные вопросы современной стоматологии»

  • 2018 г. – Семинар и мастер-класс Акуловича Андрея по использованию профессиональных систем Phillips Zoom WhiteSpeed для отбеливания зубов в клинических и домашних условиях

  • 2018 г. – Является ассоциированным членом «Общества по изучению цвета в стоматологии»

  • 2019 г. – Семинар Доменико Риккучи по теме «Практическая эндодонтия»

  • 2020г. - Methodology for dental consultation (Povolotskiy Vitaliy)

  • 2020г. - практический курс по изучению протоколов ирригации и обтурации корневых каналов. Работа с микроскопом. ( Платонов Е.В.)

  • 2021г. - практический курс ДАО Эргономики ( Михаил Елендо)

  • 2021г. - практический курс «Ceramic Life”

  • 2022г. - практический курс по изучению обработки, ирригации и обтурации корневых каналов. работа с микроскопом. ( Тумашеыич А.В.)

  • 2024г. - Базовый курс по имплантации. Ортопедический протокол. ( Ким Эдуард)

Анна
источник: Яндекс Карты
Очень хорошая профессиональная клиника. Выбирала по отзывам - не пожалела. Отдельное спасибо врачам, которые не навязывают услуги и выполняют свою работу качественно! Обстановка безумно приятная, не напряженная. Долечила кариес, удалила восьмерку, теперь планирую лечение у ортодонта Всем довольна.
Мария
источник: Яндекс Карты
В настоящее время прохожу лечение в клинике. Хочу отметить профессиональный подход.
Любовь
источник: Яндекс Карты
Отличная стоматология! Все специалисты профессионалы своего дела! Особенная благодарность Павлу Викторовичу Макарову, Габриелян Сергею Артуровичу, Мороз Екатерине Юрьевне, Александровой Кристине Алексеевне. Рекомендую всем.


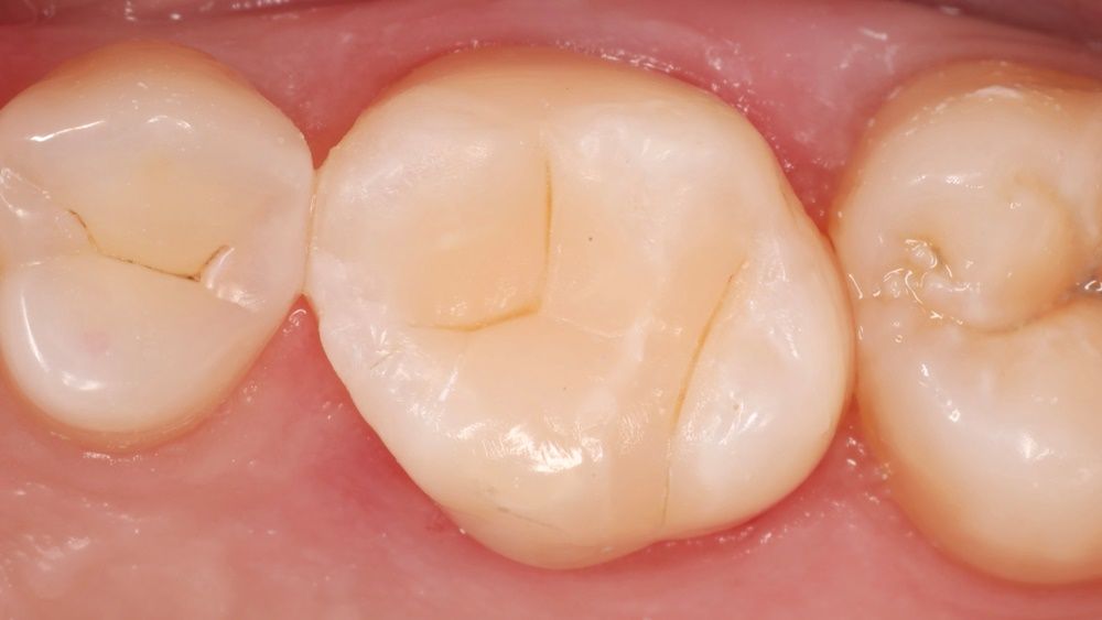
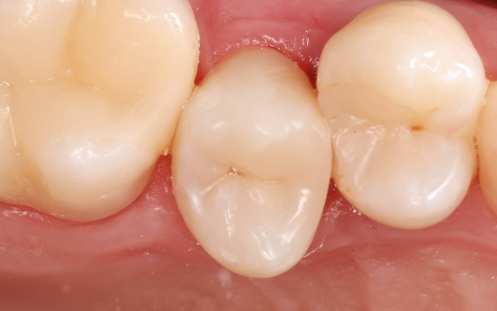
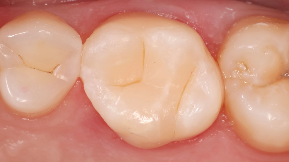
    Методика ключа отличается от реставрацией мануальной тем, что мы создаем точную копию природной анатомии зуба с помощью предварительного микро-слепка зуба.
    Сергей Артурович Габриелян
    стоматолог - терапевт


    Хотите задать вопрос доктору?

    Если Вы хотели узнать что-то про Вашу ситуацию, пожалуйста, опишите ее, я постараюсь ответить.

    Сергей Артурович Габриелян
    стоматолог - терапевт
    Напишите нам!
    Ответим на все вопросы
    и запишем на консультацию.